Call me back
Smile gallery




Composite Bonding and Whitening


Crown


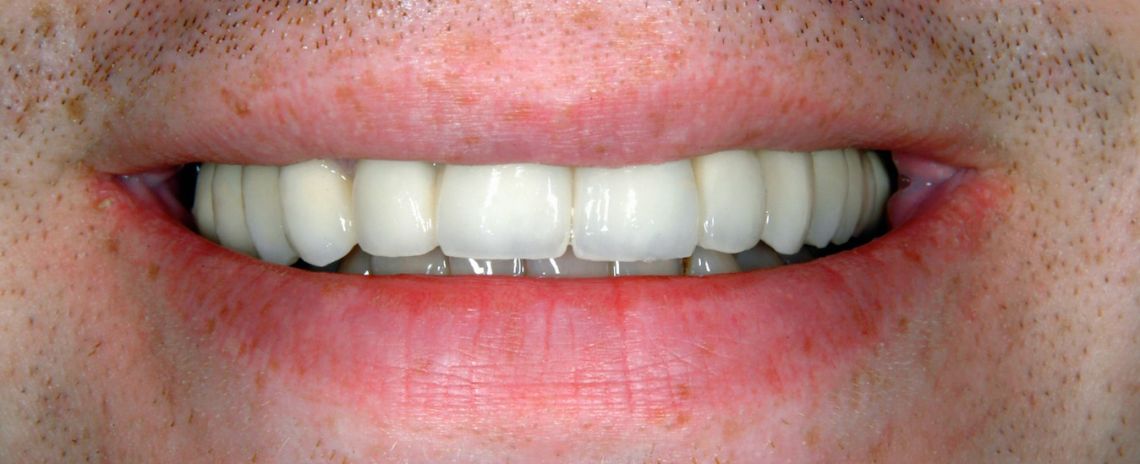
Crowns and Veneers


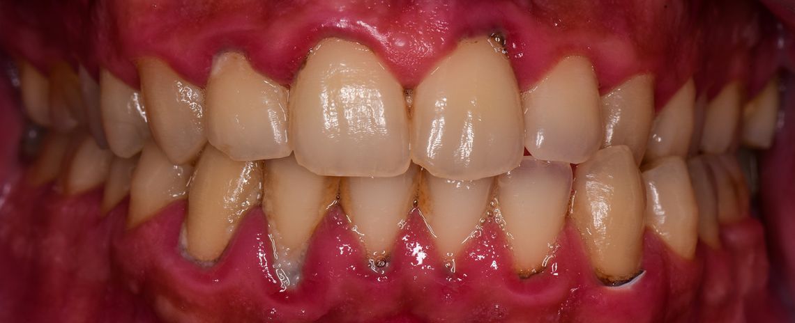
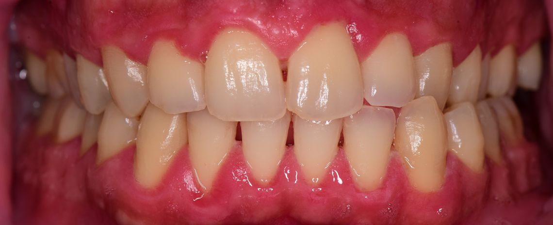
Gum Disease Clean


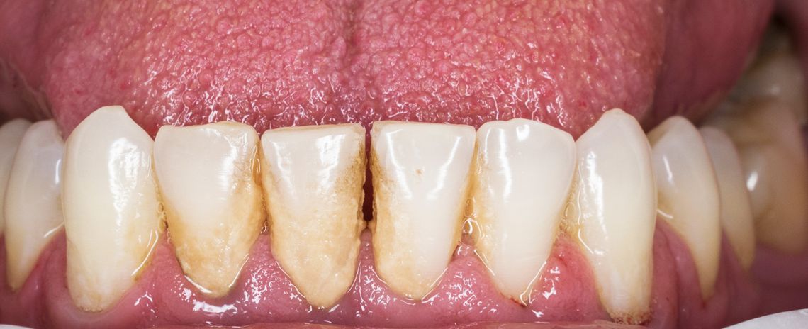
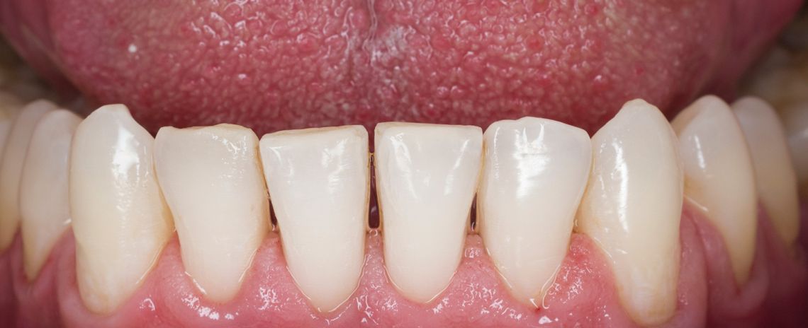
Hygiene Clean


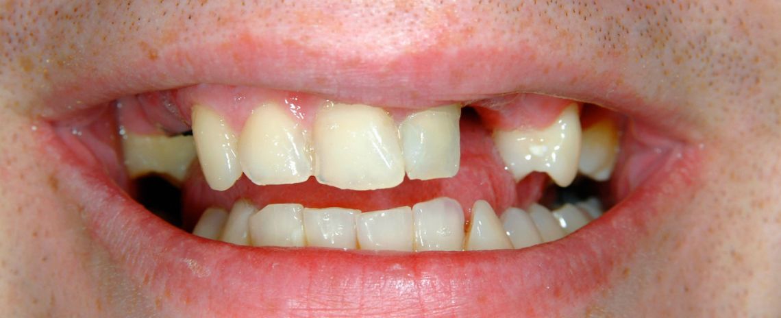
Implant Denture


Teeth Straightening, Sculpting and Composite Bonding


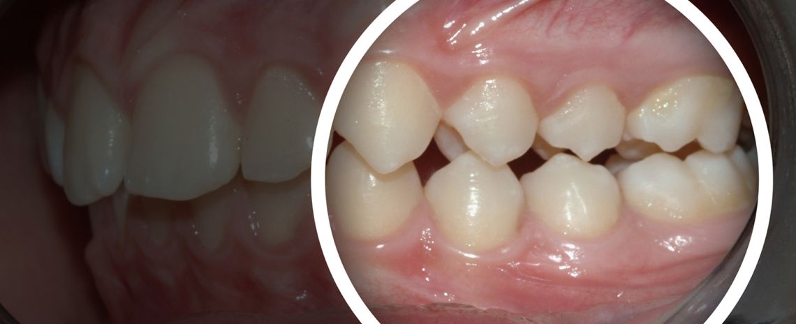
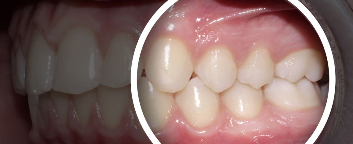
Teeth Straightening and Whitening


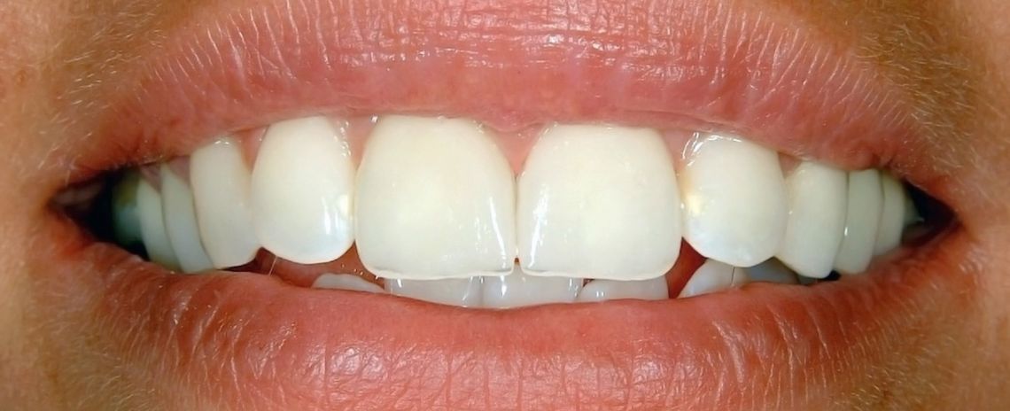
Teeth Whitening


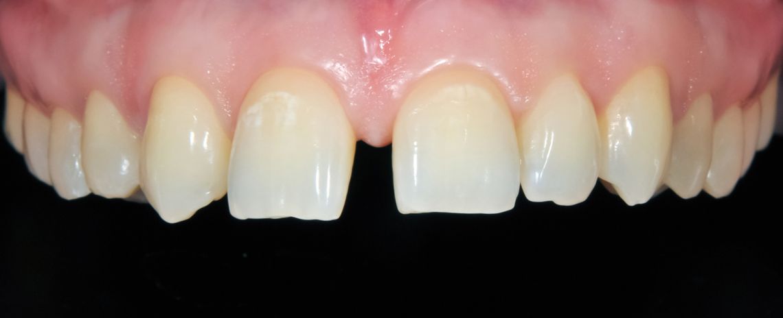
Veneers


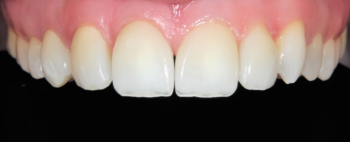
Veneers


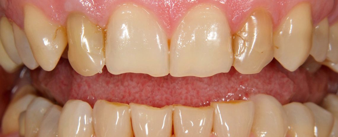
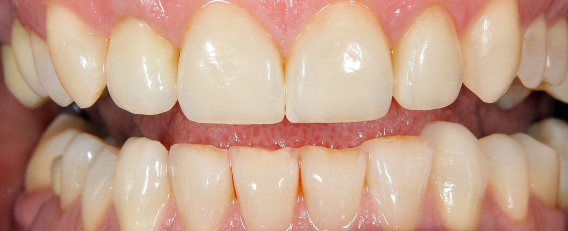
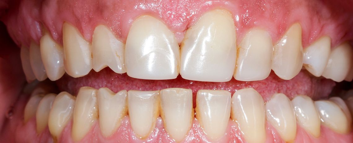
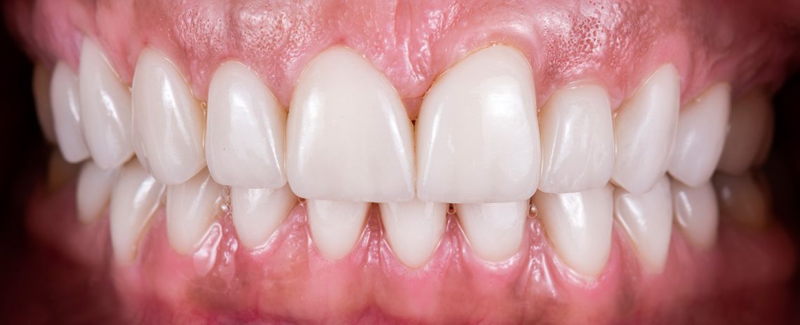
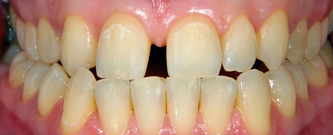
Whitening and Crowns

