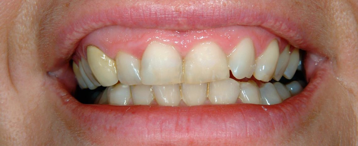
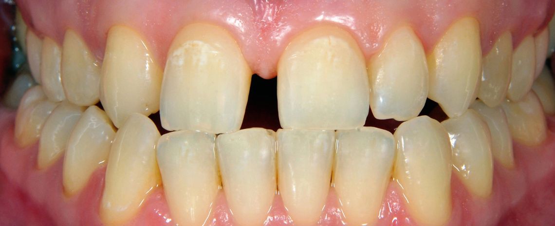
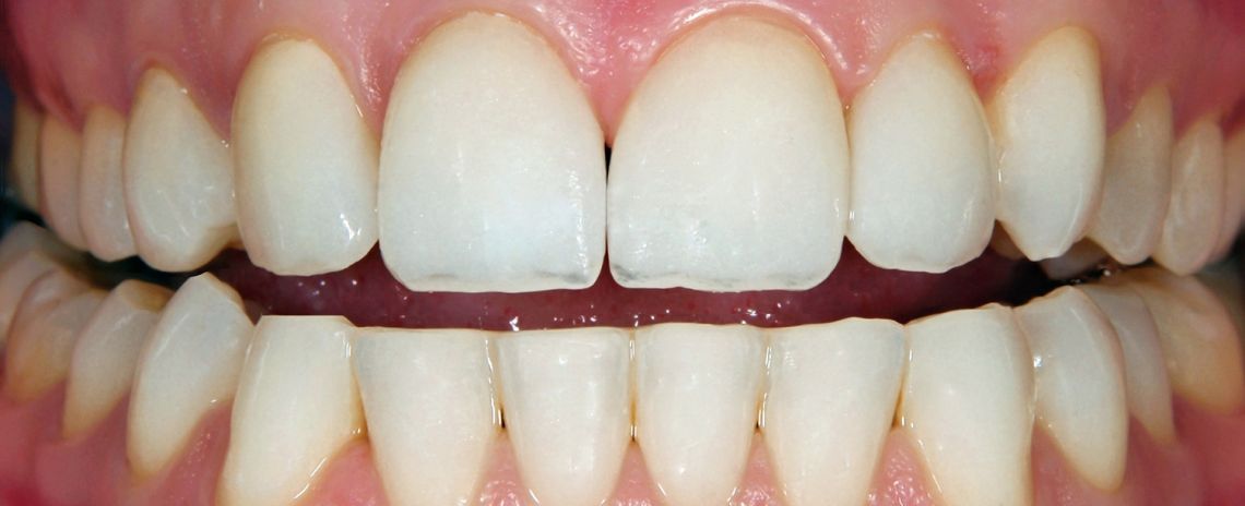
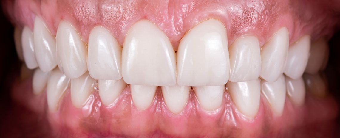
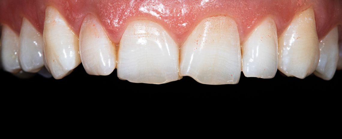
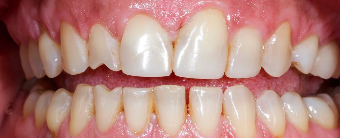
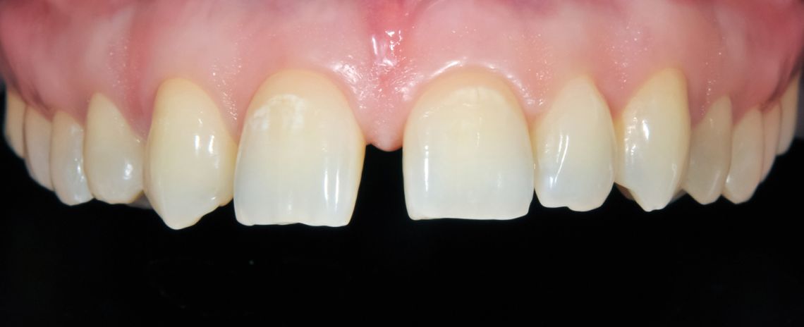
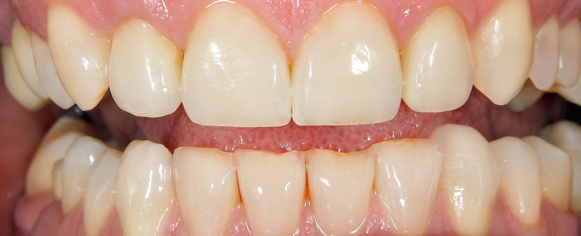
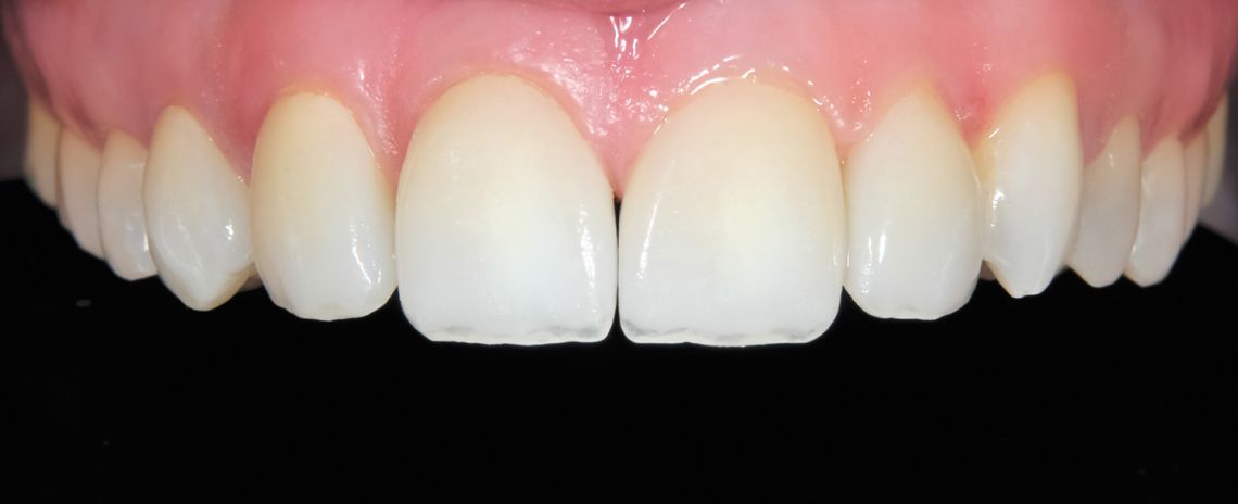
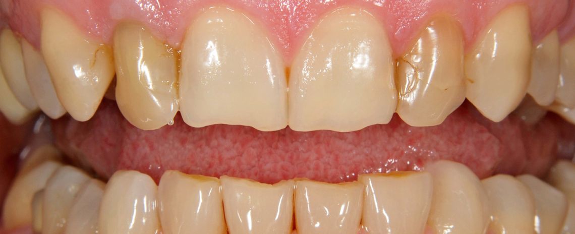
Repair, renew, transform

Give nature a helping hand with our smile makeovers at Lynn Road Dental Practice. We offer a comprehensive range of treatments to help you achieve that winning smile.

A Smile Makeover is a combination of both the skill of the dentist and advanced cosmetic dental treatments in order to create your best possible smile. Whatever your reasons for wanting a smile makeover, there are many different ways in which we can help with:

  • Whitening stained teeth
  • Straighten crooked teeth
  • Repair, replace and improve the appearance of chipped or broken teeth
  • Replace missing teeth
  • Improve a "gummy" smile

The result of a Smile Makeover should be a smile to be proud of; straighter, whiter and better aligned.

Meet the team

Khem Joshi

Dentist

GDC NO. 84097

Brais Vila Brana

Dentist

GDC NO. 238167

Jay Patel

Dentist

GDC NO. 278587

Tracey Ramsavas

Dentist

GDC NO. 78625

Jolanta Markiewicz-Mroz

Dentist

GDC NO. 84978

Previous
Next
Patient Reviews

People are talking about us

The biggest compliment we receive is when our patients refer their friends and family to Lynn Road Dental Practice. In fact, we have built much of our practice on these valued, trusted recommendations over the years. Read our reviews to hear why our patients are recommending us…

Leave us a Google review

Patient reviews

624 Reviews

5.0

28th May 2026

Jay is always very patient with both of my boys who attended. He explains everything clearly and offers good advice on how they can look after their teeth better. He puts both of them at ease so that they have a good experience at the dentist. The reception team are also friendly and helpful. It is quick and easy to get booked in, and to book future appointments. It’s good to have the magazines in the waiting room (ones suitable for children too) although we didn’t need to wait long and were seen straight away at our appointment time.

KP

Kelly Paris

Fantastic dental surgery Mo is very professional in his job an barbara his assistant was very kind , got my gums back to being healthy would highly recommend

SB

Susan Bannister

Very helpful staff and dental professional

SS

Shirley Spick

The staff are friendly and welcoming, very professional

23rd May 2026

Staff were nice nd polite easy going didn't rush treatment

20th May 2026

Polit and understanding and treatment delivered in a professional way.

18th May 2026

All staff are extremely polite and friendly, surgery is always clean. Only ‘concern’ is the financial cost of treatments.

16th May 2026

It was what I expected from the receptionists, the dental nurse and the dentist. The team always make me feel comfortable. It's a great dental practice.

15th May 2026

Straightforward treatment as scheduled.

14th May 2026

Jay ( dentist) approach makes me feel comfortable and less nervous about attending my appointment. Previously at a different dental practice I did not have a very good experience

14th May 2026

My dentist Jay is always welcoming & puts me at ease. Jay always asks what I've been up to since my last visit. He goes through every step of treatments from a check up to other treatments I may need.

14th May 2026

Have been a patient at Lynn road practice for about three years,Jolanta has always been a delight to see,and has sorted my various problems and concerns regarding my dental care.Reception girls are always very helpful,I have recommended this practice to several of my friends,I consider myself one happy patient.

13th May 2026

Efficient and professional service. Reception always endeavour to schedule appointment day and time for your convenience, also when emergency treatment required. Hygienist Sara does a brilliant job, very engaging and professional, like having a spring clean, excellent addition to the practice.

11th May 2026

Lynn Road Dental Practice work well as a team as shown by my last treatment. I asked for antibiotics..the receptionist heard me and understood my needs... talking to the dentist..Khem Joshi prior to simply handing me a prescription. I was then given an appointment within 2 days of the call to help. The extraction was performed expertly with a great deal of politeness and consideration.

8th May 2026

Kem is a great dentist always explains everything and put me at ease. Reception is always very friendly and helpful

7th May 2026

I was informed at all stages. Work was carried out as gently as possible. I was able to look at my x-rays and have them explained.

7th May 2026

As always very satisfactory appointment

5th May 2026

Dear manager,I only joined your surgery last week when i experienced tooth ache. The receptionist went through my options for plans to join which was simple and all documents sent quicky.I am a very nervous patient and would describe the dentist as not my happy place, I was booked in to see Tracey and both Tracey’s put me at ease straight away, was a very comfortable environment and was told that I would need a couple of teeth removed. This was my Friday appointment. Once again on arrival very nervous but once with Tracey was put at ease with the explanation of the procedure and how my briefing would keep me calm. Unfortunately the procedure didn’t go to plan and the tooth could t be removed and I have been referred to the hospital. I would like to say the professionalism and calmness of Tracey really helped with the experience and I can only apologise I have rubbish teeth..I have another appoint with the surgery this week and after the two previous experience I feel more at ease to come.It’s a shame that tooth removal couldn’t be completed but calmness and care for a patient’s heath is more important.

4th May 2026

Always communicate about upcoming appointments.Team is friendly and have helped me look at furture treatment options e.g dental implants, which I need to have as I have struggled with dentures to date.

4th May 2026

The reception ladies were lovely, kind and welcoming, personally i don’t mind the dentist but for someone who may be worried would definitely put them at ease, my dentist Tracey, was lovely as always, always remembers little details from things i’ve told her in previous visits overall lovely people would highly recommend

Prev Previous
Next Next